:::

兒童專欄

:::
了解兒童骨折的特性與處置
內容下載:

骨科部主治醫師 吳冠彣

 

兒童活潑好動,在日常生活中常因奔跑或運動不慎跌倒受傷。當孩子突然大哭、無法活動肢體時,家長往往擔心是否骨折,甚或會影響孩子未來的發育。常見的受傷情境包括:遊樂場、騎單車或滑板車摔倒,甚至車禍造成嚴重創傷。雖然這些骨折看似驚恐,但只要儘早就醫,依照醫師建議選擇合適的治療,因兒童骨骼癒合力強,多數都能順利康復。本文章將協助家長了解兒童骨骼的特性、骨折後的應對方式與治療選擇,術後照護與復健,希望幫助孩子在安全、正確的醫療照護下健康成長,重拾自信活力。


兒童骨骼的特性與骨折風險

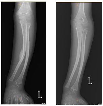
兒童的骨骼與成人堅硬的骨質相比,兒童骨骼較柔軟有彈性。因骨質尚未完全鈣化,較小的外力就可能造成骨骼彎曲或骨折。根據研究顯示,在18歲以前,約有50%的男孩與30%的女孩會經歷至少一次骨折。幸運的是,相較於成人骨折往往需3~6個月癒合,兒童通常僅需4~6週即可癒合,且石膏固定時間也大多在3~6週內,顯示出兒童骨骼強大的修復與塑形能力[圖一]。兒童骨骼骨膜較厚、含豐富膠原蛋白,這些都是促進癒合的有利條件。不過,兒童骨骼兩端存在尚未閉合的「生長板」,這是控制骨骼長度與形狀的重要部位。一旦生長板受損,可能造成骨骼彎曲、手腳長短或關節變形等後遺症。因此,若懷疑骨折波及生長板,需由專業醫師詳細評估與追蹤治療,以確保孩子未來的正常發育。


圖一 8歲男童左前臂尺橈骨折石膏復位治療一年後塑形結果

兒童常見的骨折型態

    臨床上兒童常見骨折型態如下
  • 柳枝骨折(Greenstick fracture):骨頭僅部分裂開,類似折彎的樹枝。
  • 蟠曲骨折(Torus/Buckle fracture): 骨頭因壓力而內陷變形,常見於遠端橈骨,為最輕微且常見的兒童骨折。
  • 塑形骨折(Plastic deformation):骨頭彎曲但未產生斷裂線。
  • 生長板骨折(Physeal fracture):常見於四肢長骨兩端,Salter-Harris分類。
  • 過度生長現象:骨折後刺激生長板,造成患肢反而比健側稍長。
    柳枝骨折(Greenstick fracture) 塑形骨折(Plastic deformation)

生長板骨折 Salter Harris分類法

生長板是位於兒童長骨兩端的特殊軟骨組織,負責控制骨骼的成長方向與長度。與具有緩衝作用的成人關節軟骨不同,生長板是透過軟骨細胞的分裂與增生,逐漸推進骨骼的延長與發育。隨著青春期的到來,生長板會逐步鈣化並最終閉合,意味著骨骼生長趨於成熟。通常,女孩的生長板在約14歲左右閉合,男孩則多在16歲左右結束骨骼成長。生長板骨折(physeal fracture)若未妥善治療,可能導致一系列骨骼生長與關節發育的後遺症,故了解其受傷分類與處置原則至關重要。


圖片來源:https://www.drugs.com/cg/images/en3311572.jpg

兒童肢體骨折基本處置

當孩子疑似發生骨折時,家長應進行正確的初步處置,以減少疼痛與進一步傷害。骨折初期最重要的是「不移動受傷部位」,若懷疑手臂或鎖骨骨折,可使用三角巾或毛巾將手臂懸吊固定;如為下肢骨折,則應讓孩子平躺,並以布條或毛巾將雙腿固定,防止患肢晃動。可用冰袋包覆毛巾,對骨折處進行冰敷,每次約10~15分鐘,有助於減緩腫脹與疼痛。等待送醫過程中,應密切觀察是否出現緊急徵象,例如:骨折部位明顯變形、骨頭刺出皮膚、局部皮膚變色或感覺異常(如麻木、無力)。這些可能是開放性骨折或合併神經血管損傷的表現,應立即送醫緊急處理。切記,骨折初期切勿推拿、按摩或施力復位,以免導致更嚴重的傷害。正確的處理方式是妥善固定、冷敷、抬高患部並儘速就醫,由專業醫師進行進一步的檢查與治療。

兒童骨折什麼情況下需要手術?

多數兒童骨折可透過非手術方式治療,例如石膏或簡單的外固定,因為兒童骨骼具有良好的再生與重塑能力。然而,並非所有骨折都能自然癒合。當骨折型態較為複雜或伴隨其他併發症時,便可能需要考慮手術治療。
以下為常見需要手術的情況:

  1. 嚴重移位或無法復位的骨折
    當骨折斷端嚴重錯位,無法透過徒手整復或石膏固定維持穩定時,須透過手術將骨頭復位並加以固定,以確保日後正常癒合與功能恢復。
  2. 開放性骨折(骨頭穿出皮膚)
    開放性骨折因骨頭暴露在外,有高度感染風險,必須手術清創與內固定(如骨釘或鋼板)。
  3. 關節內骨折
    若骨折斷裂穿越關節面,需手術精準復位,以避免關節面不平整造成疼痛或關節活動受限。
  4. 合併神經或血管損傷
    若骨折造成周圍神經或血管的壓迫或損傷,須緊急手術解除壓力,避免造成不可逆的組織壞死或功能喪失。
  5. 影響骨骺或生長板的骨折
    生長板是兒童骨骼發育的重要區域,若骨折涉及生長板(例如 Salter-Harris第三或第四型),通常需手術復位與固定,以避免骨骼變形或長短。
  6. 多處骨折或不穩定骨折
    若同時發生多個部位骨折,或骨折不穩定導致持續疼痛、無法維持正確對位,也需透過手術處理。


兒童骨折術後的石膏護理與復健指引

兒童骨折無論是否有接受手術,多數情況仍需依照醫囑進行石膏固定與階段性復健。良好的照護有助於骨骼順利癒合、預防併發症,並協助孩子恢復活動能力。

石膏護理注意事項

  1. 保持石膏乾燥與清潔
    • 石膏完全乾燥需 24~48 小時,期間避免觸水或覆蓋潮濕衣物。
    • 洗澡時可用防水袋或塑膠袋密封保護患部。
  2. 避免異物插入石膏
    • 即使感到搔癢,也不可用筆、筷子等物品伸入石膏內搔抓,避免皮膚破損與感染。
    • 若出現異味、滲液、石膏內明顯疼痛,應儘速回診檢查。
  3. 注意血液循環與神經功能
    • 定期觀察患部手指腳趾是否出現腫脹、發紫、麻木、冰冷等情形,這可能是血液循環不良的徵兆。
    • 睡覺或休息時可抬高患肢,幫助血液回流,減輕腫脹。

術後復健與日常恢復

  1. 復健時間與原則
    • 兒童骨折癒合時間依年齡與部位而異。上肢約 4~6 週、下肢約 6~8 週。
    • 石膏拆除後,常見患肢僵硬、肌肉萎縮,需循序漸進進行關節活動訓練。
  2. 簡單居家復健建議
    • 可先由被動活動(家長輕柔協助)過渡到主動活動(孩子自行操作)。
    • 每日短時間、多次進行,避免過度用力。適當熱敷、泡溫水促進循環(石膏拆除後),有助肌肉放鬆與恢復關節靈活。
  3. 依醫囑復健
    • 複雜骨折(如關節內骨折、合併韌帶損傷)可能需轉介物理治療科。

石膏拆除後的注意事項

  • 骨折癒合後,仍需避免劇烈運動至少4週,直到醫師確認骨頭完全穩定。
  • 營養均衡,多攝取含鈣、蛋白質、維生素D食物。


 

網頁分享:噗上plurk 推到twitter 分享至facebook